

서울보스톤치과 의료진 소개 01.
수술이 전문인 구강악안면외과 전문의가 풍부한 경험과 각종 디지털 진단 장비로 얻은 데이터를 바탕으로 임플란트를 직접 시술하여 보다 정확하고 편안하게 치료합니다.
더블보드
전문의
진료
구강외과
치의학
박사
수면
임플란트
가능
자체
기공실
보유
3차원
디지털장비
진단
* 더블보드 전문의 : 보건복지부에서 인증하는 전문의 자격증이 2개인 의사

서울보스톤치과 의료진 소개 02.
풍부한 임상경험과 노하우를 가진 교정과 의학박사가 치료의 모든 과정을 함께하여 만족스런 결과를 만들어 냅니다.
교정과
의학박사
주치의
변경없음
교정
가속화장치
보유
3차원
디지털장비
진단

서울보스톤치과 의료진 소개 03.
치과보존과 전문의들이 풍부한 임상경험과 25배 확대 가능한 독일 칼짜이즈 미세현미경, 3D 디지털 진단 장비 등으로 기존 치아를 최대한 살리는 치료를 합니다.
3인의
치과보존과
전문의
치과
미세현미경
보유
자체
기공실
보유
3차원
디지털장비
진단

왜
seoul boston dental clinic
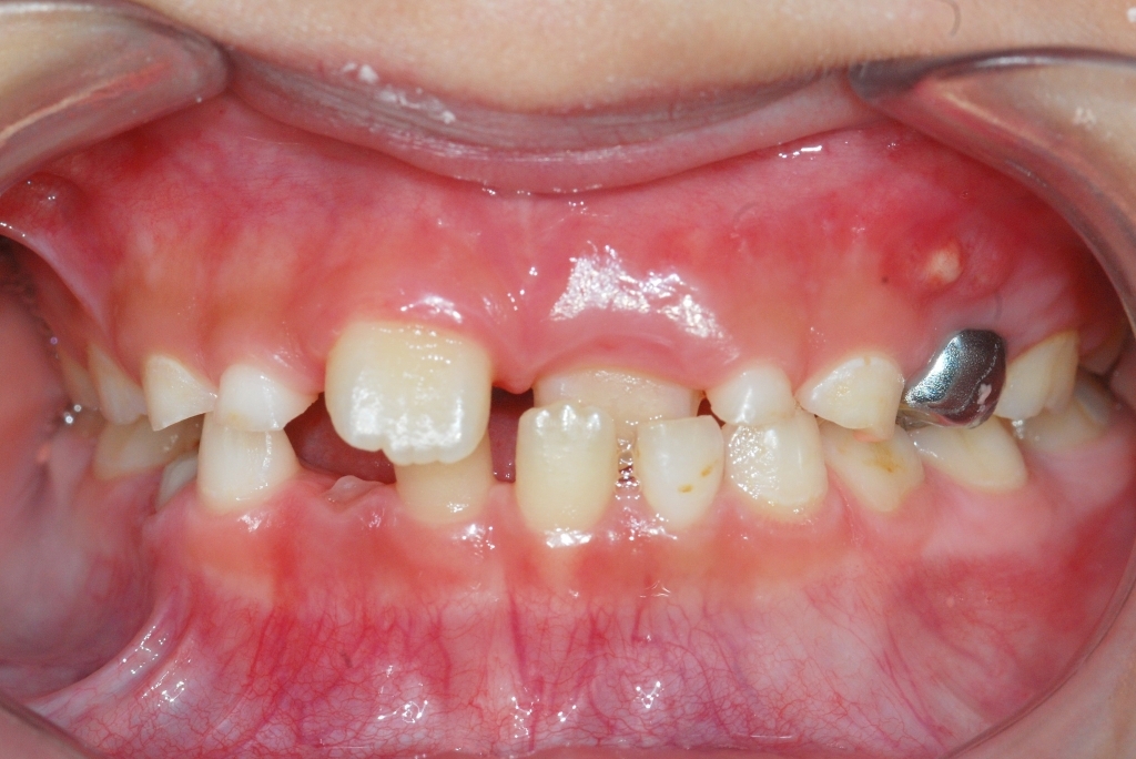
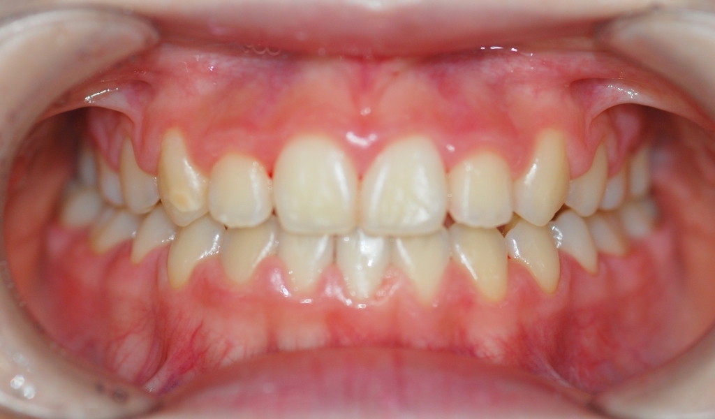
서울보스톤치과에서 치료 받으신 분들의 전후사진입니다.